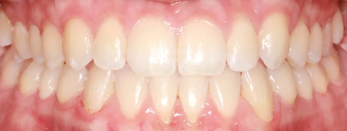
A new smile that comes from the heart! – safe, gentle, first-class
Modern implantology in Budapest is combined with personal service and care.
Exclusive implant offer – valid until April 30
Dental prostheses or complete restoration – without compromise?
Yes, it is possible.
Do two or more of these benefits sound like what you wish for? Then implants could be the right choice for you.
Contact us
Evergreen Dental in Budapest: 6 Vorteile auf einen Blick
Central location & easy to reach
Pain-free treatment: sedation & general anesthesia
Premium implant brands
Top notc technology & 3D planning
All-inclusive service
English-speaking support & translation
Central location & easy to reach
Pain-free treatment: sedation & general anesthesia
Premium implant brands
Top notc technology & 3D planning
All-inclusive service
English-speaking support & translation
What is a dental implant – and who is it suitable for?
A dental implant is an artificial tooth root made of titanium that replaces a lost tooth.
IMPORTANT: Titanium is very well tolerated by the body – even by people with metal allergies.
Implants are an excellent solution for single tooth gaps, larger gaps, or even complete tooth loss.
Our dentists work with high-end technology and great expertise to ensure natural aesthetics and maximum comfort.





Successful dental treatments
Procedures under general anesthesia
Satisfied patients
Commitment to quality
What is the dental implant procedure?
Contact
Real stories. Visible results.
From UK. Don’t speak Hungarian but most people at Evergreen spoke English, which makes a big difference! Apart from that I am thrilled after 2 weeks I have new teeth. I came 6months ago for extraction, 2 implants and small bone graft – including flight and accommodation was still less than price of one implant in UK !! This time I have had implants finished and crowns on all teeth. Dr Kovacs was amazing, so professional and thorough. The surgeon also. The staff on reception were efficient and supportive. I definitely recommend Evergreen, and Budapest is such a lovely place ?
Julie Bird – February, 2026
I’ve just finished a long course of treatment with Evergreen that has gone on for 18 months – three visits all told. I had a full mouth reconstruction which included a bone graft, several implants, bite readjustment, crowns and bridges. Dental work is never pleasant, but it helps to get through it when you have total trust in the skill of the doctor, and a good relationship with the team. Dr Kovacs did a fabulous job, as did the surgeon who did the bone graft. The staff are friendly and helpful, in person and via email. The cost was so reasonable compared to the UK – I would never have afforded it otherwise. I can now eat properly and smile at everyone! I would recommend Evergreen without reservation – and spending so much time in Budapest was an added bonus to the whole experience.
Denise Dent – February, 2026
I would like to say a huge thank you to the Dr Kovacs and his entire team. From the very first email I sent from abroad to the moment I stepped into the clinic and was greeted by Dóra’s friendly and calming energy, everything went perfectly smoothly.
I had my treatment under full anaesthesia, and it truly felt like I wasn’t even there — I didn’t have to experience a single moment of discomfort. The doctor carefully explained every step of my treatment plan, and I have never felt more understood or more clearly informed about my dental issues.
I know that dental travel can sometimes feel uncertain because you don’t always know what to expect, but Evergreen Dental is the one clinic that truly puts you at ease and delivers exactly the “dream dentistry” experience you hope for.
I was a very anxious patient before, but thanks to Dr Kovacs I am confident to go back to the dentist chair for the first time in my life.
Zsiboracs Klaudia – September, 2025
Had a fantastic experience at Evergreen Dental today. One of my crowns fell out and I urgently needed to put it back in place. I was scheduled extremely fast by the ladies at the reception and Dr. Weber and her assistant were able to re-attach my crown without any problems. The whole staff speaks perfect English and complete process was very comfortable and pleasant. Dr. Weber was very careful and made sure I wasn’t in any pain. She was also very transparent about my options and what the costs would be (which were very reasonable). I will absolutely be back if I have any more dental needs while here in Budapest. Highly recommend!
George Hayrapetyan – April, 2025
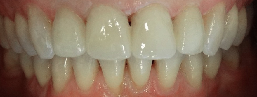
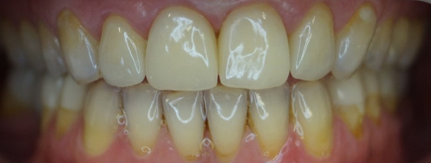
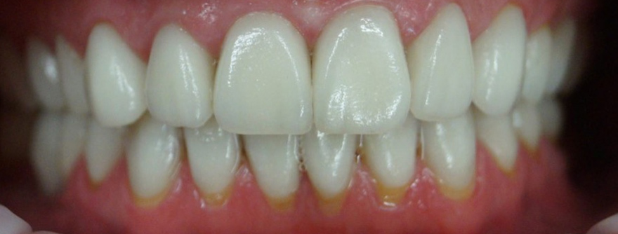
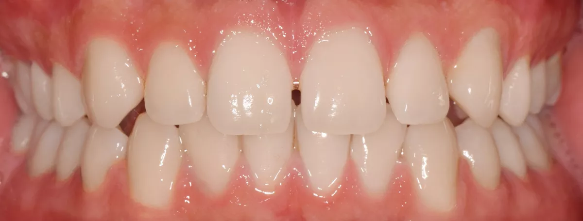
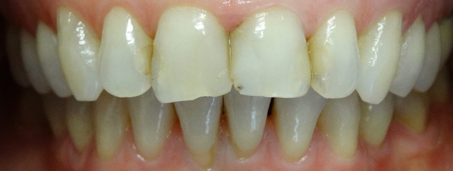
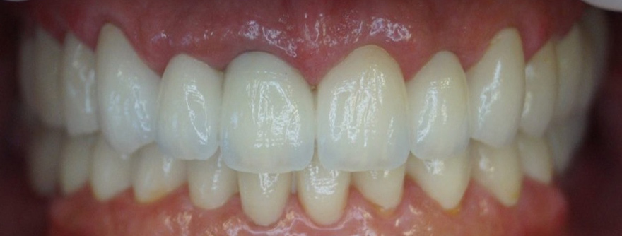
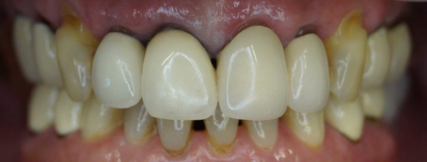
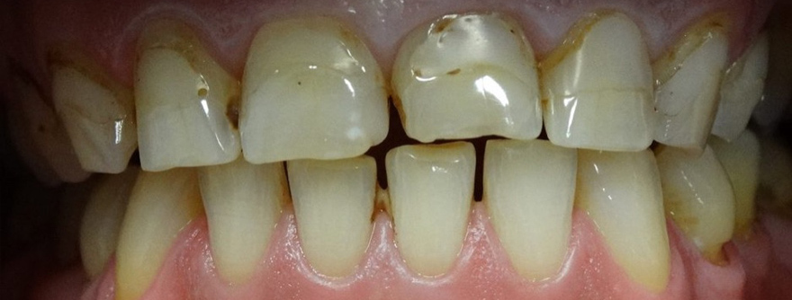
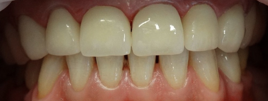
Before – After photos
Manuela V. (D)
28 Zircon crowns, 10 days
Veronika E. (D)
28 e.Max full ceramic crowns, 10 days
Paul R. (D)
12 Zircon crowns, 5 days
Michael P. (CH)
4 e.Max porcelain veneers, 5 days
Anna K. (H)
SPARK™ Aligner; 32 weeks
Louis D. (UK)
Spark™ Aligner; 39 weeks

Dental prostheses with implants – how does it work?
A complete dental prosthesis is necessary when many teeth are missing and chewing function needs to be restored. At Evergreen Dental, this can usually be done in one or two visits.
Implants are placed first, followed by the final restoration in a second appointment. An additional visit may only be necessary if bone augmentation is required beforehand.
Multiple implants with crowns or bridges
mplants are not only suitable for individual crowns, but also for larger restorations. Multiple implants can support an implant bridge—for example, two implants for a 3–4-unit bridge.
Depending on the initial situation, single crowns, multiple implants, or a combination of both solutions may be considered.
Are many of your teeth missing?
Then a complete dental restoration could be the right solution—for stable chewing function and a carefree, natural smile.

One step closer to your perfect smile
Personalized, free plan via email – within 24 hours.

All-on-4 dental implants – the fixed solution on just four implants
Denture solutions in package
The first step toward your ideal treatment
In dentistry, there are almost always several options. A free preliminary examination will tell you exactly which solution is right for you.
Before we start dental restoration, we take the time to get to know you in person—so that together we can choose the best, most comfortable long-term solution.
Carefully planned treatment will secure your well-being for many years to come.



Our team consists of professionals who guide you through the entire process with great empathy
At Evergreen Dental, experienced specialists work hand in hand to ensure you receive the best possible care at all times.
Our entire team’s goal is that you feel comfortable, safe, and well cared for during your whole visit.
Visit us and experience professional, personalized care.
Questions & Answers
We receive many questions every day. The most important answers are clearly summarized to help you quickly find what you need.
And if anything remains unclear, our team is always happy to assist you personally.
How the Travel Planning Works?
After scheduling your appointment, you will receive a personalized proposal for your stay in Budapest.
You simply let us know whether you would like to accept or adjust the offer.
Once the package price is confirmed:
Please remember to check in on time and follow the airport pickup instructions.

EN
DE
AT
CH








