Feel the difference
It is an incredible difference from many aspects to live with or without beautiful teeth. New perfect teeth not only allow to enjoy every meal again but will return the smile, the confidence the self esteem, will make one look younger and healthier. Take a look at some of our works below including veneers before and after and dental bridges before and after.
Warning: the following images may be disturbing
Anna K. (H)
SPARK™ Aligner; 32 weeks


Manuela V. (D)
28 Zircon crowns, 10 days


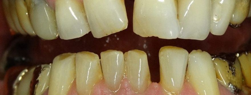
Paul R. (D)
12 Zircon crowns, 5 days


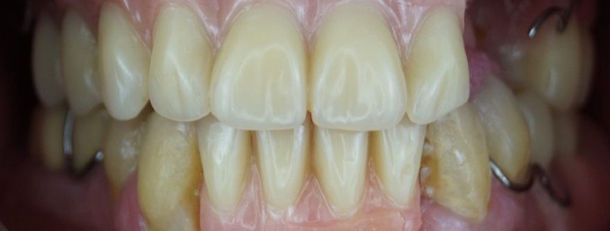
Hardi P. (D)
7 Implants, 13 Zircon telescopic crowns, upper-lower telescopic prostheses BioHPP (Premium), 12 days


Louis D. (UK)
Spark™ Aligner; 39 weeks


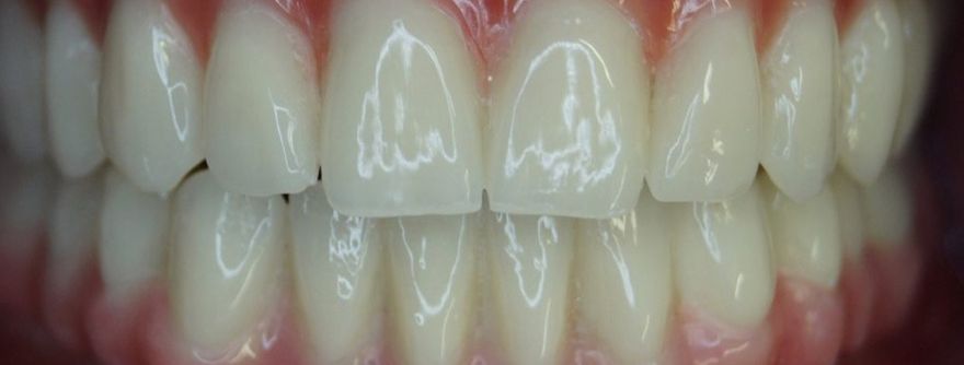
Veronika E. (D)
28 e.Max full ceramic crowns, 10 days


Michael P. (CH)
4 e.Max porcelain veneers, 5 days


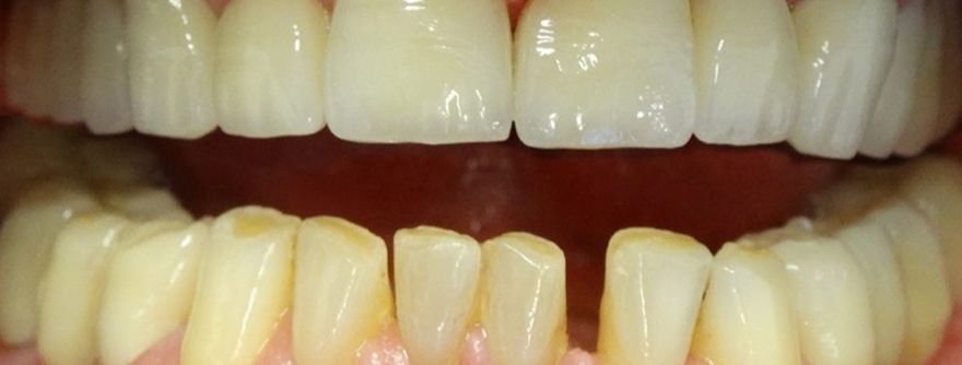
Sarah H. (D)
20 Porcelain-fused-to-metal crowns, 5 days


Call or email us now!
+442038076292 • info@evergreendent.com